Đặt lịch
tư vấn

Tầm quan trọng của răng sữa đối với sự phát triển của răng vĩnh viễn
Giữ khoảng cho răng vĩnh viễn mọc
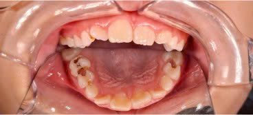
Nếu mất răng sữa sớm, các răng xung quanh di chuyển vào khoảng trống mất răng, dẫn đến thiếu khoảng mọc cho răng vĩnh viễn sau này, gây tình trạng răng vĩnh viễn mọc chen chúc, lệch lạc hoặc mọc ngầm.
Định hướng mọc răng vĩnh viễn
Răng sữa giúp răng vĩnh viễn mọc đúng vị trí. Nếu răng sữa bị sâu, viêm nhiễm không được điều trị, nhiễm trùng có thể ảnh hưởng mầm răng vĩnh viễn bên dưới về hình dạng và màu sắc và chất lượng mô răng.
Mão SSC là gì và tại sao lại được lựa chọn cho răng sữa?
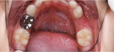
SSC (Stainless Steel Crown) là mão răng bằng thép không gỉ, được thiết kế sẵn với nhiều kích cỡ khác nhau, thường dùng để phục hồi răng sữa đã bị sâu lớn hoặc tổn thương nặng. Đây là một dạng phục hình toàn phần bao phủ toàn bộ thân răng, giúp bảo tồn và duy trì chức năng của răng sữa cho đến khi thay răng vĩnh viễn.
Tại sao mão SSC được lựa chọn cho răng sữa?
- Độ bền cao
Mão thép không gỉ có khả năng chịu lực tốt, ít bị gãy vỡ so với các vật liệu trám thông thường.
- Bảo tồn răng tối đa
Duy trì được răng sữa đến đúng thời điểm thay răng, ngăn ngừa mất khoảng và sai lệch cung răng.
Giúp răng giữ chức năng nhai, phát âm và thẩm mỹ trong giai đoạn phát triển.
- Bảo vệ răng sau điều trị tủy
Mão SSC giúp bao phủ toàn bộ thân răng, giảm nguy cơ nứt vỡ và tái nhiễm khuẩn.
- Hiệu quả kinh tế – lâm sàng
Là lựa chọn có chi phí hợp lý so với các loại mão sứ, zirconia.
Thời gian thực hiện nhanh, phù hợp cho trẻ nhỏ khó hợp tác lâu trên ghế nha.
- Tỉ lệ thành công cao
Nhiều nghiên cứu cho thấy mão SSC có tỉ lệ tồn tại và bảo tồn răng sữa cao hơn hẳn so với trám thông thường, đặc biệt trong các trường hợp sâu răng nhiều mặt.
Quy trình chụp mão SSC cho trẻ
Đối với quy trình chụp mão SSC cho trẻ, quá trình gồm có 10 bước:
1. Kiểm tra khớp cắn trước khi thực hiện
2. Gây tê, đặt đê
3. Lấy sạch ngà sâu
4. Chuẩn bị cùi răng
5. Lựa chọn mão răng
6. Dùng kìm chuyên dụng để điều chỉnh bờ mão
7. Đánh bóng mão
8. Lấy đê ra và đặt mão vào để kiểm tra khớp cắn.
9. Làm nhẵn và đánh bóng sau cùng trước khi gắn xi măng
10. Rửa và thổi khô mão, gắn mão
Lợi ích của việc chụp mão SSC cho răng sữa
So với những vật liệu thông thường khác, mão thép có sẵn có nhiều ưu điểm để phục hồi răng cối sữa như:
- Rất bền
- Bảo vệ và nâng đỡ được múi còn lại của răng
- Phục hồi lại được hình dáng của thân răng được dễ dàng
- Diện tiếp xúc với các răng bên tốt tránh được hiện tượng dắt thức ăn rất phiền toái cho trẻ
- Hiệu quả kinh tế cao
- Tiết kiệm được nhiều thời gian cho trẻ và cho bác sĩ răng hàm mặt, kỹ thuật đơn giản…
CHĂM SÓC SAU KHI CHỤP MÃO SSC
Chăm sóc răng có mão sữa đúng cách sẽ giúp bé ăn nhai thoải mái và giữ nụ cười tươi lâu dài.

Chải răng vùng nướu quanh mão. Vệ sinh răng miệng theo hướng dẫn của bác sĩ và tái khám định kỳ.

Không được ăn các loại kẹo cứng, dẻo, ngoài việc gây sâu răng nhanh, còn có thể làm bong mão.

Nếu có vấn đề bất thường như mão răng bị lỏng hoặc bong ra thì phải đến bác sĩ răng hàm mặt ngay.

Mão răng sẽ rụng cùng với răng sữa trước khi răng vĩnh viễn thay thế mọc.
Những lưu ý khi lựa chọn nha khoa cho trẻ
Q&A
Câu hỏi thường gặp
Chụp mão SSC có đau không?
Trong quá trình chụp mão
- Không đau, do đã được gây tê.
- Có thể thấy ê hoặc rung lắc nhẹ khi nha sĩ mài răng hoặc gắn mão.
- Nếu làm cho trẻ em, trẻ có thể sợ hãi hoặc không hợp tác, nhưng bản thân thủ thuật không gây đau.
Sau khi chụp mão
- Có thể cộm nhẹ trong vài ngày đầu, nhưng sẽ hết sau 1-3 ngày sau đó
- Nếu mão lắp chưa khít hoặc cắn không đều, có thể gây đau khi nhai → cần đi chỉnh lại.
- Với mão thép (SSC) cho trẻ em, thường ít biến chứng, nhưng trẻ có thể cảm thấy cấn hoặc lạ miệng lúc đầu.
Cách giảm khó chịu sau khi chụp mão
- Uống thuốc giảm đau (nếu cần) theo chỉ định của nha sĩ.
- Ăn thức ăn mềm trong 1–2 ngày đầu.
- Tránh thức ăn quá nóng, lạnh, hoặc quá cứng.
Mão SSC có ảnh hưởng đến sự phát triển của răng vĩnh viễn không?
Mão SSC (mão thép không gỉ) không ảnh hưởng đến sự phát triển của răng vĩnh viễn nếu được chỉ định và thực hiện đúng kỹ thuật.
LỜI CHỨNG THỰC
Hành Trình Nụ Cười Cùng Bạn
Trước khi đến Nha Khoa Phương Thành, tôi luôn cảm thấy tự ti với nụ cười của mình vì răng bị lệch và không đều màu. Nhưng nhờ sự tư vấn tận tâm và kế hoạch điều trị chuyên nghiệp từ đội ngũ bác sĩ, tôi đã hoàn toàn thay đổi. Không chỉ được sử dụng các thiết bị hiện đại, tôi còn được giải thích kỹ lưỡng về từng bước điều trị. Kết quả là giờ đây tôi đã có một nụ cười rạng rỡ và tự tin hơn rất nhiều. Cảm ơn Nha Khoa Phương Thành đã mang lại sự thay đổi lớn lao này!
Truyền Thông Nói Gì
Về
Dịch Vụ Nha Khoa Tổng Quát?
Dịch vụ nha khoa tổng quát của Nha Khoa Phương Thành thường được các quý báo và đơn vị truyền thông nhắc đến với những bài viết, đánh giá tích cực về chất lượng dịch vụ và hiệu quả điều trị.
Nha Khoa Phương Thành – Nơi chuyên môn vững vàng kết hợp cùng sự tận tâm, luôn sẵn sàng đồng hành cùng bạn để kiến tạo sức khỏe răng miệng an toàn và hiệu quả.
TIN TỨC

